Book Now
How to Know If Your Dental Crown Needs Replacement?
Millbrae, CA

The purpose of a dental crown is to rebuild the size, shape, and strength of a tooth that has been injured. It covers the tooth, protecting it from further damage. Crowns are designed to last many years, but they can eventually need replacement. Recognizing when a dental crown needs to be replaced is crucial to maintain oral health and prevent further complications. Early detection of the symptoms can spare you from discomfort and expensive repairs.
This guide will explore how to determine if your dental crown requires replacement, common causes for crown failure, and how to address these issues.
Signs That Indicate a Dental Crown May Need Replacement
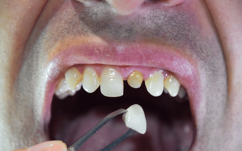
- Visible Damage: Visible deterioration is one of the most telling indicators that your dental crown may need to be replaced. This includes cracks, chips, or discoloration. If you notice any of these issues, it is a clear indication that the crown may no longer be effective.
- Loose Fit: A crown that feels loose or wobbles can cause discomfort and affect your bite. If you find that your crown shifts or doesn’t fit snugly anymore, it may be time for a replacement.
- Pain or Discomfort: Sensitivity or pain around the crowned tooth is another sign. This discomfort could indicate that the crown is no longer protecting the tooth properly or that there is an underlying issue.
- Difficulty Chewing: If you experience problems with biting or chewing food, it might be due to an ill-fitting or damaged crown. A crown should allow you to chew comfortably and effectively.
- Gum Issues: Swollen or bleeding gums around the crown can signal that the crown is causing irritation or that there’s a problem with the tooth beneath. This can be a sign that replacement is needed to prevent further issues.
Common Causes for Crown Failure
- Wear and Tear: Over time, dental crowns in Millbrae can experience natural degradation due to regular use. Daily chewing and grinding can wear down the crown, making it less effective.
- Tooth Decay: Decay can develop underneath or around the crown if it is not properly sealed. This can compromise the crown’s fit and function, requiring replacement.
- Poor Fit: Sometimes, a crown may not fit perfectly from the start. Issues with the crown’s fit or alignment can lead to problems and eventually necessitate replacement.
- Trauma or Injury: Accidents or impacts can damage the crown, making it necessary to replace it to ensure continued protection and functionality.
How to Diagnose Crown Issues?
Self-Examination
- Inspect for Visible Damage: Start by closely examining your crown for any cracks, chips, or discoloration. Keep an eye out for any appreciable variations in texture or color, since these could point to a weakened crown.
- Check for Loose Fit: Gently test the stability of your crown. If it feels loose or shifts when you bite down, it could be a sign that the crown needs adjustment or replacement.
- Monitor for Discomfort: Pay attention to any unusual sensitivity or pain around the crowned tooth. If you feel pain, especially when eating hot, cold, or sweet foods, it could mean that the crown isn’t shielding the tooth as well as it once did.
- Assess Chewing Function: Evaluate how well you can chew and bite with the crowned tooth. Difficulty or discomfort while chewing can suggest that the crown is not fitting properly or has been damaged.
- Observe Gum Health: Check for signs of gum irritation around the crown. Swollen, bleeding, or inflamed gums could indicate that the crown is causing issues or that there is a problem with the underlying tooth.
Professional Evaluation
- Importance of Regular Check-Ups: Maintaining the health of your dental crown requires routine dental checkups. A self-examination may not reveal problems that your dentist can find during a comprehensive checkup.
- What Your Dentist Will Look For: During a professional evaluation, your dentist will inspect the crown for signs of wear, damage, and fit issues. They will also check for any underlying tooth decay or gum problems that could affect the crown’s performance.
- Diagnostic Tools: To check for concealed decay or damage and to evaluate the state of the tooth behind the crown, your dentist may utilize X-rays. They may also perform a physical examination to evaluate the crown’s fit and function.
What to Do If You Suspect Your Crown Needs Replacement?
- Contact Your Dentist: If you suspect that your crown needs replacement, it is crucial to consult your dentist promptly. They can evaluate the situation and recommend appropriate treatment.
- Potential Treatments: Depending on the condition of your crown, your dentist may suggest a replacement or other treatments. They will discuss your options and help you choose the best solution for your needs.
Preventative Measures
- Proper Oral Hygiene: Maintaining good oral hygiene is key to prolonging the life of your dental crown. Brush and floss regularly to keep your teeth and gums healthy.
- Regular Check-Ups: Routine dental visits are important for catching any issues with your crown early. Regular check-ups ensure that any problems are addressed before they require more extensive treatment.
Recognizing when your dental crown needs replacement is essential for maintaining oral health. Signs such as visible damage, loose fit, pain, difficulty chewing, and gum issues should prompt you to seek professional advice. Regular dental check-ups and good oral hygiene can help prevent crown problems and extend its lifespan. If you have any concerns about your dental crowns, consult your dentist for guidance and appropriate care.


