Real Stories. Real Results.

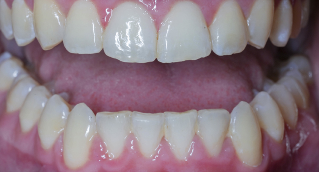
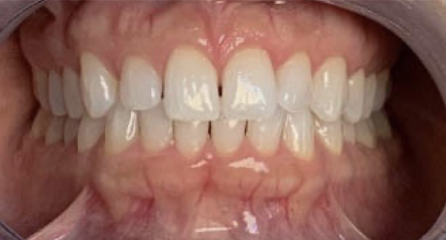
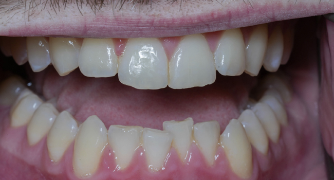
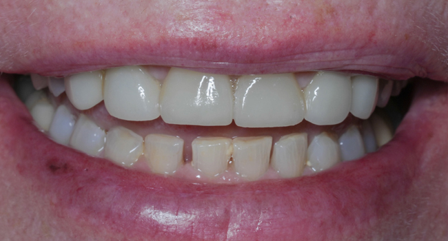
Cosmetic Dentistry
Image
Before
Image
After
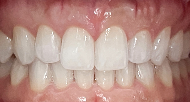
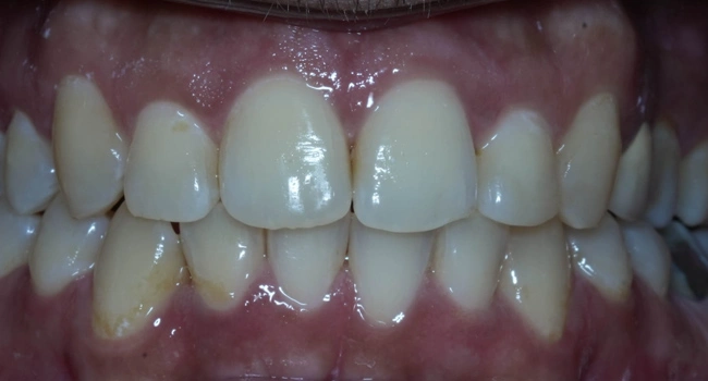
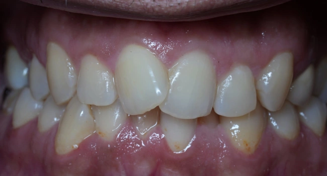
Full Mouth Reconstruction
Image
Before
Image
After
Invisalign & Veneers
Image
Before
Image
After
Veneers
Image
Before
Image
After
Invisalign
Image
Before
Image
After
Invisalign
Image
Before
Image
After
Invisalign
Image
Before
Image
After

New Patients & Emergency Appointments Welcome!